Služby

PROČ JE POTŘEBA PROFESIONÁLNÍ DENTÁLNÍ HYGIENA
Pravidelným čištěním odstraňujete doma lepkavý film na povrchu zubu – plak. Neodstraněný plak např. v těžko dostupných nebo při nedostatečné péči však časem mineralizuje a tvoří se tvrdý zubní kámen. Plak a zubní kámen obsahují bakterie, jejichž produkty způsobují zánět dásně. Ten se pak projevuje krvácením, zápachem z úst apod. Dlouhodobý zánět už ohrožuje závěsný aparát zubu a může vést ke ztrátě zubů. Bakterie v místě zánětu jsou pak podkladem i pro vznik zubního kazu.
JAK PROBÍHÁ NÁVŠTĚVA DH
Na první návštěvu je vyhrazeno více času. Projdu si s vámi anamnézu podle registračního dotazníku, ideálně doplníme informace diagnostickými RTG snímky od vašeho zubního lékaře. Následuje extraorální vyšetření, podrobné vyšetření tvrdých a měkkých tkání v dutině ústní a stanovení parodontologických indexů. Na základě všech získaných informací stanovíme individuální plán péče.
Můžete se setkat s těmito postupy:
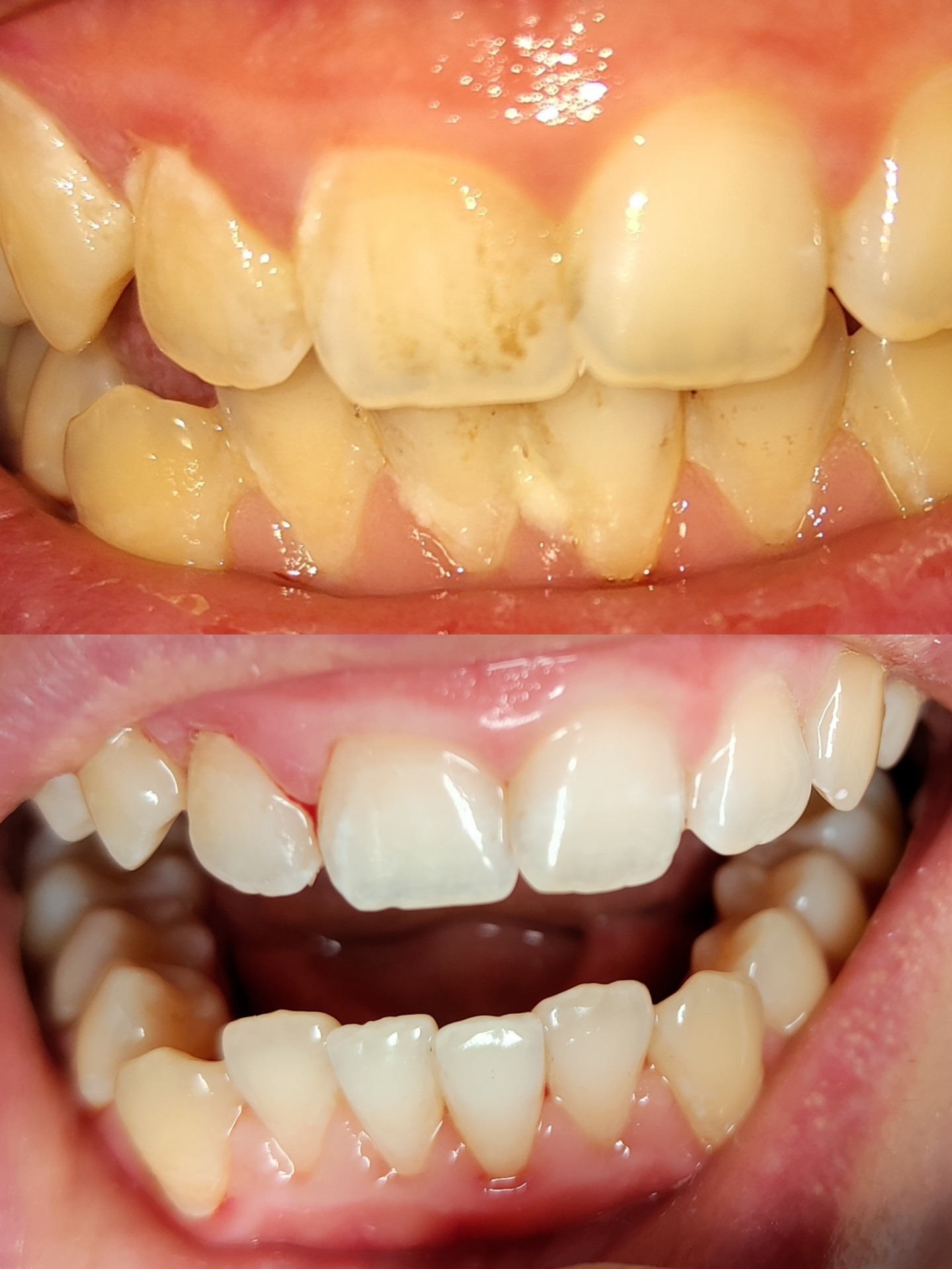
- scaling aneb profesionální čištění povrchu zubů. Jedná se o odstranění plaku a zubního kamene z povrchu zubů nad a pod dásní pomocí ultrazvuku a speciálních ručních nástrojů.

- airflow můžete znát jako "pískování" povrchu zubů. Pomocí vody, stlačeného vzduchu a speciálního prášku tato metoda dokonale odstraňuje pigmenty a zbytky povlaku. S použitím vhodného přístroje, jeho koncovek a při správném výběru typu prášku (hrubosti) je to metoda šetrná k tvrdým i měkkým zubním tkáním. Airflow využijeme před bělením zubů, v případě ortodontického aparátku i u pacientů s implantáty a protetickými pracemi. Má i však svoje kontraindikace, např. silný zánět dásně, onemocnění dýchacích cest jako astma apod.
- depurace, polishing jako závěrečné ošetření a uzavření povrchu zubů. Provádí se leštícími pastami různé hrubosti a v různé koncentraci obsahují látky remineralizující sklovinu. Pro posílení skloviny lze využít samostatně i speciální laky, gely a pěny.
- deep scaling a root planing je metoda hloubkového očištění a vyhlazení povrchu kořene zubů v případě přítomnosti parodontálních kapes.
- motivace a instruktáž jsou nezbytnou součástí péče o chrup. Návštěva profesionální dentální hygieny je prvním krokem, stejně zásadní je ale váš přístup a úroveň domácí péče mezi naplánovanými návštěvami. Klademe důraz na vzájemnou komunikaci, nejen na techniku čištění. Fotodokumentace intraorální kamerou nám pomáhá porovnat jednotlivé snímky a zhodnotit úroveň dentální hygieny v čase. Dozvíte se souvislosti, proč a jak čistit, změříme mezizubní prostory, doporučím vám pomůcky přímo na míru, probereme související oblast zdravého stravování.
Intervaly návštěv jsou stanoveny individuálně po vstupním vyšetření. Při nevyhovující hygieně tzn. velkém nánosu zubního kamene postupujeme step-by-step. Na vstupní návštěvě očistíme zuby "z nejhoršího" nad dásní a po zlepšení domácí péče a ústupu zánětu dočistíme i pod dásní. Při velkém zánětu dásně více krvácí a hlubšímu ošetření tak brání nepřehledný terén i vyšší citlivost při ošetření.

A CO DĚTI?
Péče dentální hygienistky je vhodná pro všechny věkové kategorie.
Návštěvu lze doporučit rodičům s dětmi již od tří let, kdy se snažíme předcházet strachu z ošetření v dutině ústní a hravou formou trénovat základní dovednosti péče o chrup. V dětském věku zůstává samozřejmě základem ústního zdraví péče rodiče, takže motivace a instruktáž probíhá současně, tak, aby pak malý pacient s přibývajícím věkem přirozeně přijal zodpovědnost za své zdraví. V období adolescence se pak snažíme posílit motivaci k péči o dutinu ústní i s využitím principů EBM (Evidence-based medicine).
Všechny doporučené pomůcky můžete zakoupit přímo v ordinaci.
