Services

WHY PROFESSIONAL DENTAL HYGIENE IS NEEDED
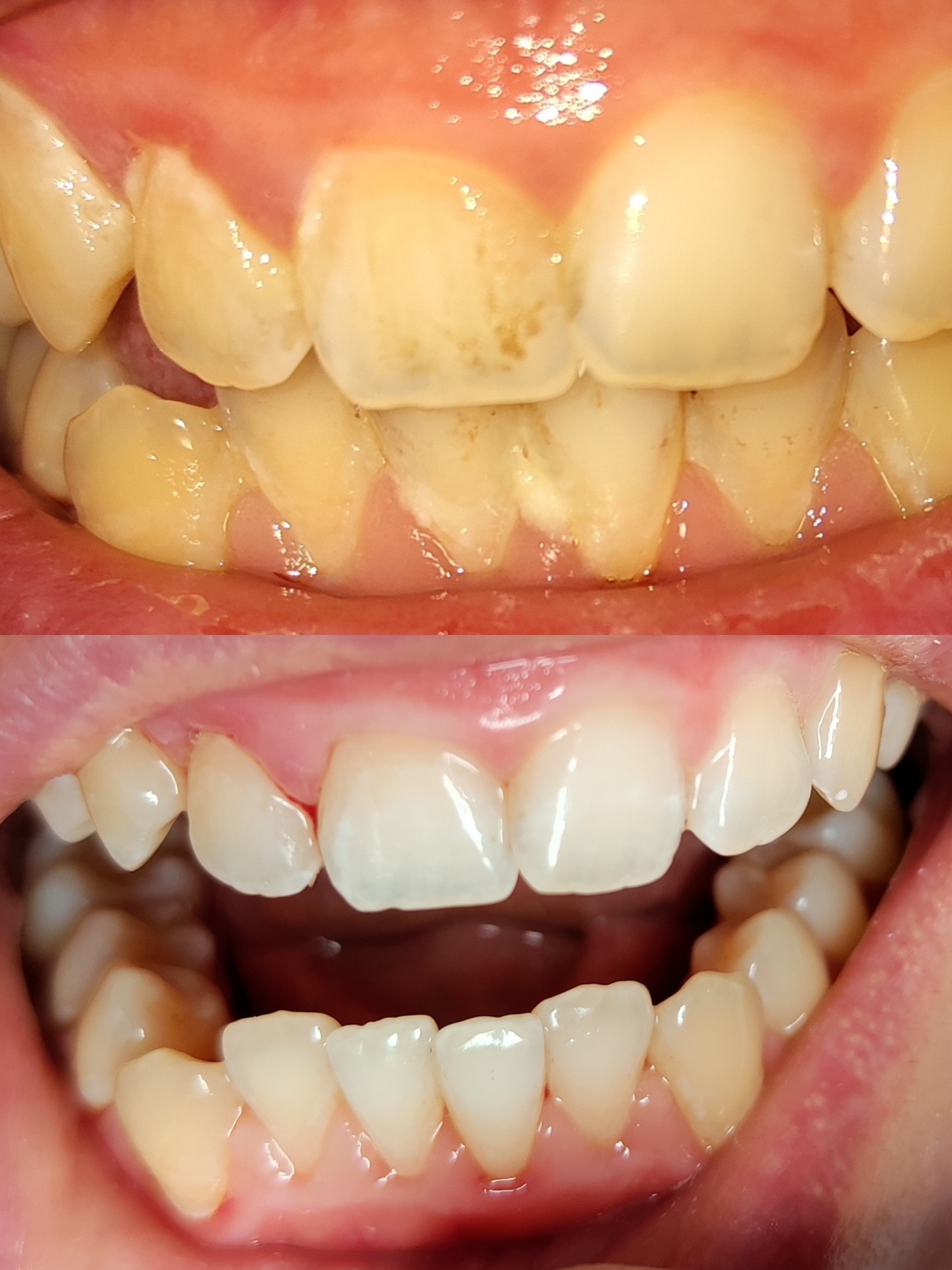
Regular brushing at home removes the sticky film on the surface of the tooth - plaque. However, plaque that is not removed, e.g. in hard-to-reach areas or with insufficient care, mineralises over time and forms hard tartar. Plaque and tartar contain bacteria whose products cause gingivitis. This then manifests itself in bleeding, bad breath, etc. Long-term inflammation already threatens the hanging apparatus of the tooth and can lead to tooth loss. The bacteria at the site of the inflammation are also the basis for tooth decay.
THE PROCESS OF DH TREATMENT
More time is allowed for the first visit. I will go over your medical history with you using the registration questionnaire, ideally supplementing the information with diagnostic x-rays from your dentist. This is followed by an extraoral examination, a detailed examination of the hard and soft tissues in the oral cavity and the determination of periodontal indices. Based on all of the information obtained, we will determine an individualized plan of care.
You may encounter the following procedures:
- scaling or professional cleaning of the tooth surface. It is the removal of plaque and tartar from the surface of the teeth above and below the gum line using ultrasound and special hand tools.

- You may know airflow as "sandblasting" the surface of your teeth. Using water, compressed air and a special powder, this method perfectly removes pigments and plaque residue. With the use of a suitable instrument, its tips and the right choice of powder type (coarseness), this method is gentle on both hard and soft tooth tissues. Airflow is used before teeth whitening, in the case of orthodontic appliances and for patients with implants and prosthetic work. However, it also has its contraindications, e.g. severe gingivitis, respiratory diseases such as asthma, etc.
- Depuration, polishing as a final treatment and closure of the tooth surface. It is carried out with polishing pastes of varying coarseness and in varying concentrations containing enamel remineralising agents. Special varnishes, gels and foams can also be used separately to strengthen the enamel.
- deep scaling and root planning is a method of deep cleaning and smoothing of the root surface of teeth in the presence of periodontal pockets.
- Motivation and instruction are an essential part of dental care. Visiting a professional dental hygienist is the first step, but your attitude and level of home care between scheduled visits is equally essential. We emphasize communication, not just brushing technique. Photo documentation with an intraoral camera helps us compare individual images and assess the level of dental hygiene over time. You will learn the context of why and how to brush, we will measure the interdental spaces, recommend customized appliances, and discuss the related area of healthy eating.
Visit intervals are set individually after an initial examination. We follow a step-by-step procedure for poor hygiene i.e. large tartar build-up. At the initial visit we clean the "worst of the worst" teeth above the gum line and after home care has improved and the inflammation has subsided, we also clean below the gum line. With a lot of inflammation, the gums bleed more, and deeper treatment is not possible due to lack of clarity and higher sensitivity during treatment.

WHAT ABOUT THE CHILDREN?
Dental hygienist care is suitable for all ages.
Visits can be recommended for parents with children as young as three years old, when we try to prevent fear of oral care and train basic dental care skills in a playful way. In childhood, of course, parental care remains the foundation of oral health, so motivation and instruction take place simultaneously, so that the young patient then naturally accepts responsibility for their health as they grow older. During adolescence, we then try to strengthen the motivation for oral health care also using the principles of EBM (Evidence-based medicine).
